Xương đùi là xương dài và lớn nhất trong cơ thể, đóng vai trò quan trọng trong việc nâng đỡ trọng lượng cơ thể và vận động chi dưới. Vùng đầu dưới xương đùi (liên lồi cầu đùi) tham gia cấu tạo khớp gối, có cấu trúc giải phẫu phức tạp và chịu lực lớn. Gãy liên lồi cầu đùi là một dạng gãy xương nặng, thường gặp trong các chấn thương năng lượng cao như tai nạn giao thông, tai nạn lao động, dễ gây biến dạng khớp gối, hạn chế vận động và để lại nhiều di chứng nếu không được điều trị đúng và kịp thời.
Hiện nay, điều trị gãy phức tạp liên lồi cầu đùi chủ yếu là phẫu thuật kết hợp xương nhằm phục hồi hình dạng giải phẫu, tái lập bề mặt khớp và giúp người bệnh sớm vận động. Trong đó, kỹ thuật kết hợp xương dưới màn hình tăng sáng (C-arm) được xem là phương pháp hiện đại, cho phép phẫu thuật viên quan sát chính xác vị trí ổ gãy, hướng và độ dài dụng cụ kết hợp xương trong suốt quá trình mổ, từ đó nâng cao độ chính xác và hiệu quả điều trị.
Vừa qua, Bệnh viện Đa khoa Nguyễn Thị Thập đã tiếp nhận và điều trị thành công một trường hợp gãy phức tạp liên lồi cầu xương đùi bằng phương pháp phẫu thuật kết hợp xương dưới màn hình tăng sáng C-arm.

Hình ảnh Xquang trước phẫu thuật
Sau khi hội chẩn chuyên khoa, các bác sĩ khoa Chấn thương chỉnh hình đã chỉ định phẫu thuật kết hợp xương bằng nẹp vít chuyên dụng dưới hướng dẫn của màn hình tăng sáng C-arm. Ca phẫu thuật được tiến hành cẩn trọng nhằm đảm bảo phục hồi tối đa giải phẫu khớp gối, cố định vững chắc ổ gãy và hạn chế tối đa tổn thương phần mềm xung quanh.
Cuộc mổ tiến hành trong 2 giờ đồng hồ, các mảnh gãy được nắn chỉnh chính xác, hệ thống nẹp vít được đặt đúng vị trí dưới kiểm soát liên tục của C-arm. Hậu phẫu, bệnh nhân tỉnh táo, vết mổ khô, tình trạng đau được kiểm soát tốt, chức năng vận động chi dưới được theo dõi sát. Bệnh nhân được hướng dẫn tập phục hồi chức năng sớm theo phác đồ nhằm hạn chế cứng khớp và teo cơ.

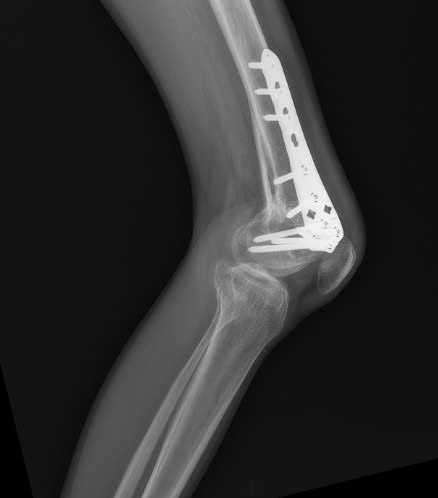
Hình ảnh Xquang sau phẫu thuật
Phẫu thuật kết hợp xương gãy phức tạp liên lồi cầu đùi dưới màn hình tăng sáng C-arm mang lại nhiều ưu điểm như:
![]() ![]() |
Hình ảnh Xquang sau phẫu thuật 1 năm: xương đã lành hoàn toàn, bệnh nhân có thể sinh hoạt và làm việc bình thường
Với đội ngũ bác sĩ giàu kinh nghiệm cùng hệ thống trang thiết bị hiện đại, Bệnh viện Đa Khoa Nguyễn Thị Thập hiện triển khai thường quy nhiều kỹ thuật phẫu thuật chấn thương chỉnh hình chuyên sâu như kết hợp xương dưới C-arm điều trị các chấn thương phức tạp do tai nạn giao thông. Việc ứng dụng hiệu quả các kỹ thuật hiện đại góp phần nâng cao chất lượng điều trị, giảm thiểu biến chứng và cải thiện chất lượng cuộc sống cho người bệnh, đúng với định hướng phát triển của bệnh viện.